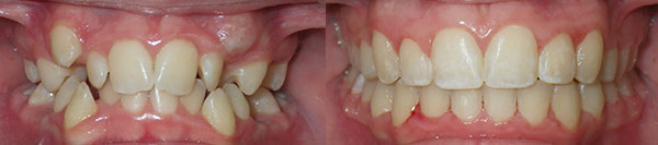
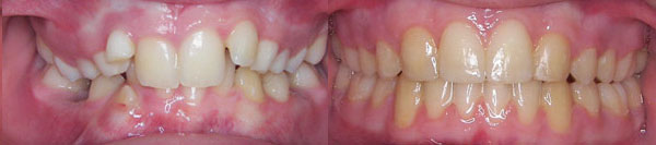
Crowding of the teeth
Crowding of teeth presents as rotations and misalignment of your teeth in both the vertical and in/out dimensions. It is caused by a discrepancy in tooth size and jaw size and can be fixed with orthodontic treatment.
Open bite - Front teeth don't touch
An open bite is often seen as the front teeth not touching and can occur for a variety of reasons such as habits like tongue thrust, or sucking your thumb. Or can be indicative of an underlying skeletal condition. There are a variety of treatment options to fix an open bite. Schedule a consult to determine the best option for you!
Deep overbite - Lower front teeth bite into palate
Deep bites are when the top front teeth almost completely cover the bottom front teeth. A deep bite can cause issues with the way you bite and may lead to wear on your front teeth over time.
Missing lateral incisors
The lateral incisor, or tooth next to your front tooth, is one of the most commonly missing teeth. If you, or your child, are missing their lateral incisor, you have multiple options to replace it. Schedule a consult to determine which option would work best for you and your smile!
Underbite - Lower front teeth in front of upper teeth
This presents as the bottom front teeth sticking out farther than the top front teeth. This could be caused by the angulation and position of the front teeth or an underlying skeletal issue.
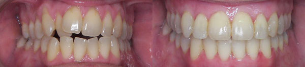
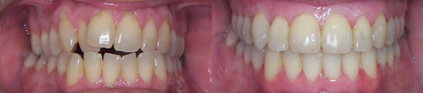
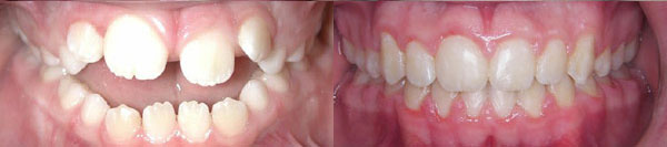
Spacing of teeth
Exactly as it sounds! When there is spacing between the teeth! There are multiple options to close spacing between teeth and then keep them closed with permanent bonded retainers and removable retainers.
Overjet - Protruding front teeth
Overjet is what many patients refer to as "overbite," or the significant distance between the top and bottom teeth. Orthodontic treatment can help to decrease this distance and give you the smile you've been looking for!
Phase-One
Occasionally, a Phase I treatment is required to encourage all of the adult teeth to erupt into healthy bone and tissue, correct a potentially impacted tooth, or fix an underlying skeletal issue. This Phase is generally much faster than full treatment as we are only accomplishing very specific goals in anticipation of the next full Phase II of treatment!







