
No braces. All smiles. 3M™ Clarity™ Aligners.
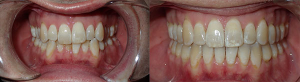
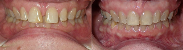
Clarity Aligners are a clear solution for straightening your teeth. The clear aligner system is custom-fit for your smile, and offers a treatment experience that is nearly invisible, convenient, and comfortable.

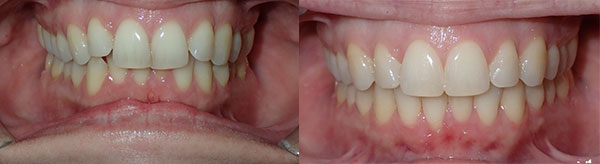
How Aligners Work
Clear aligners gradually move your teeth, but without any metal wires or braces. Clarity Aligners treatment uses a system of removable, nearly invisible plastic trays designed to help guide your teeth into the ideal position to help you achieve the happy, healthy smile you want.
Ready to straighten your teeth? Clearly, you’re on the right track!
- Orthodontists are specially trained on the proper way to align jaws and straighten teeth. We are excited to discuss the full range of treatment options.
- During your initial consultation, we will discuss your lifestyle, get to know your day-to-day activities, and learn about your treatment goals. From there, we will determine the right option for you and your smile.
- Treatment using Clarity Aligners starts with a custom, digital treatment plan that shows you exactly how your teeth will move and how long it will take to reshape your smile.
- You will get a series of clear aligners that should be worn for about one to two weeks each, depending on your custom treatment plan. The total number of aligners needed to complete your treatment will vary, based on your smile’s needs.
- We recommend wearing your aligners 22 hours a day. The aligners are nearly invisible so you can go through your treatment and look good doing it.
If you want to improve your smile with a clear solution, schedule your consultation today!
Living with Aligners

Keep up the good hygiene: Removable aligners help you maintain your flossing and good dental habits.

Love your food: Remove your aligners so you can enjoy your favorite foods.

Enjoy a custom fit: Clarity Aligners are custom-fit for you and your smile.
Clear Expectations
How long will I be in treatment?
Every smile is unique, and the length of treatment varies, based on your smile’s needs. You can be confident that your Clarity Aligners treatment plan will be custom-designed to achieve the happy, healthy smile you want.
Are clear aligners comfortable to wear?
You may experience some initial discomfort with each aligner, but the more you wear them, the more comfortable they become ... and the more confident you can smile.
How many hours do I need to have the aligners in?
Wear your aligners for 22 hours a day or as prescribed.
How often should I change my aligners?
You want to be sure to wear your Clarity Aligners in sequential order according to the numbering on the packaging, so you’ll move through treatment as directed.
Can I eat with clear aligners?
You will want to remove your aligners to enjoy your favorite foods and drinks (except water), and keep them clear and clean.
How do I keep my aligners clean?
Clean your aligners with a toothbrush and cool water. Specific cleaning instructions are included in your Clarity Aligners welcome kit.
Clear Aligners
Clear Aligners

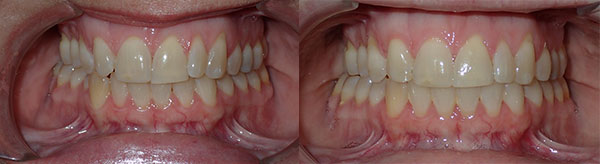
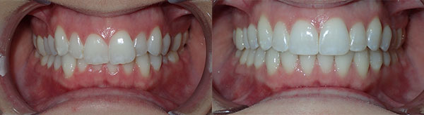
There’s never been a better time to straighten your teeth with the most advanced clear aligner in the world. Our office is proud to be a certified provider of Invisalign clear aligners, which give you a clear, convenient, and comfortable option to achieve the smile you’ve always wanted.
Why Invisalign treatment?

- Faster treatment: With weekly aligner changes, you’re on your way to the smile you want even faster. Depending on your response to treatment, particularly in mature adults, we may consider longer periods between aligner changes.
- Proven results: SmartTrack® material and SmartForce® features are clinically proven to improve control of tooth movement with Invisalign clear aligners.
- Better fit: Aligners made from SmartTrack material are comfortable, fit well, and are easy to put on and take off.
- Effective: Invisalign clear aligners can treat a wide range of teeth-straightening conditions, including crossbites, crowding, open bites, gapped teeth, overbites, and underbites.
- Virtually invisible: Most people won’t even know you’re going through treatment, because Invisalign aligners are virtually invisible!
- Comfortable: Invisalign clear aligner trays are not only smooth and comfortable to wear, but they’re also removable. That means you can continue doing all the things you normally would, from brushing and flossing to eating whatever you like.
- Convenient: Invisalign treatment is ideal for your busy schedule, since you only need to visit our office every six weeks.
The Invisalign Treatment Process
Your First Consultation
At your initial consultation, we will discuss your orthodontic needs and evaluate whether Invisalign treatment is right for you.
Your Custom Treatment Plan
We will use a scanner such as the iTero® digital scanning system to create fast, precise 3D digital images of your teeth. Then we will map out a precise treatment plan, including the exact movements of your teeth and how long your treatment will be. You’ll even get to see how your teeth will move and preview your new smile.
Your Invisalign Clear Aligners
Your custom-made aligners will be made of Invisalign’s proprietary SmartTrack® material. They’re virtually invisible, so most people won’t even notice you’re wearing them during your teeth straightening.
Wear your Invisalign clear aligners 20 to 22 hours a day for the best results, and take them out only to eat, brush, and floss.
Your Progress
As you wear each set of aligners, your teeth will gently and gradually shift into place. We may recommend that you begin wearing a new set of aligners every week and schedule checkups every six weeks or so.
Taking Care of Your New Smile
When your treatment is complete, ask us about a Vivera® retainer. Vivera retainers are custom-made using the same state-of-the-art technology as Invisalign clear aligners.
To learn more about the Invisalign system and all your orthodontic treatment options, please feel free to schedule an appointment at our office. We look forward to meeting you and helping you achieve a smile that’s made to move!
Invisalign and the Invisalign logo, among others, are trademarks of Align Technology, Inc., and are registered in the U.S. and other countries.
